

Young 13 year old girl, back ground
1. Turner syndrome.
2. Recurrent Cellulitis and Shingles
3. Recent diagnosis of Crohn’s disease being followed up by the infectious diseases and immunology teams.
She presented to the clinic with a history of progressively worsening breathlessness over approximately three weeks.
No history of fever, cough or otherwise being unwell. No history of otherwise being unwell.
She had already been seen by her GP and was started on amoxicillin for a presumed chest infection.
Question 1. What are the causes of Exertional dyspnoea -
Initial Clinical Assessment
Did not look unwell, slightly pale.
Slightly tachypnoeic, with a heart rate of around 100 beats per minute. Unfortunately, blood pressure was not recorded at that time.
Chest - clear. Cardiac examination- reported to be normal
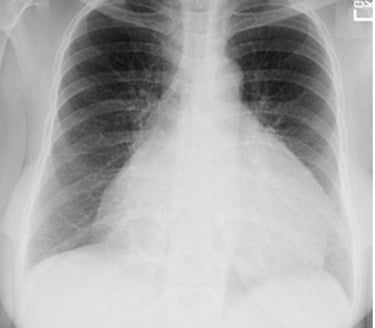
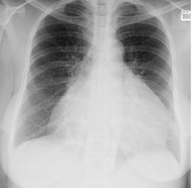
Chest X-ray was requested, and the patient was sent home while awaiting the results.
Question 2. What is the diagnosis ? Differential diagnosis?
ECG


Question 3- What is the diagnosis ? Spot 2 positive findings.
One situation- many things to learn
Thrombocytopenia Conundrum- can you solve ?
About a year ago, we encountered two interesting paediatric cases at different times. Both children presented with similar symptoms— both between age 3 and 4, one was girl and other was a boy. They looked pale, appeared tired, and were noticeably lethargic. One of the children also had picky eating habits along with pica. Importantly, there was no history suggestive of any bleeding tendency in either child.


What would you read from the FBC ?
Your D/d, what do you think about platelets ?
Spot diagnosis !


The picture shared was of a lovely six-year-old girl, sent by one of our friends with a query about what the underlying problem might be. The child had been experiencing symptoms for the last two weeks. On examination of the image, there was significant redness, some swelling, and the area appeared to be quite itchy. The child was very uncomfortable but notably did not complain of pain.
(Sincere thanks to parents to allow us to use the photo)
Possible Differentials ?
Diagnosis ?
Management ?
